Medical Encyclopedia
            
            
            
            Ovalocytoses
            
            
            
            
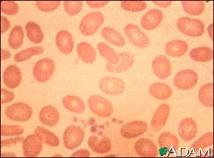
Red blood cells (RBCs) are normally round.  In ovalocytosis, the cells are oval.  Other conditions that produce abnormally shaped RBCs include spherocytosis and eliptocytosis.
            Update Date: 6/14/2008
            
            Updated by: James R. Mason, MD, Oncologist, Director, Blood and Marrow Transplantation Program and Stem Cell Processing Lab, Scripps Clinic, Torrey Pines, California. Also reviewed by David Zieve, MD, MHA, Medical Director, A.D.A.M., Inc.
The information provided herein should not be used during any medical emergency or for the diagnosis or treatment of any medical condition. A licensed physician should be consulted for diagnosis and treatment of any and all medical conditions. Call 911 for all medical emergencies. Links to other sites are provided for information only -- they do not constitute endorsements of those other sites. Copyright 1997-2009, A.D.A.M., Inc. Any duplication or distribution of the information contained herein is strictly prohibited.